1. 年龄是最重要的因素
不容忽视,年龄是影响卵子质量的最关键指标。随着年龄增长,卵母细胞的非整倍体率显著增加。研究表明,22岁的卵母细胞非整倍体率约为5%,32岁增加到22%,而40岁则高达65%。
除此之外,高龄女性卵泡中的线粒体和颗粒细胞减少,自由基和活性氧堆积,导致细胞凋亡倾向增加。这些都意味着高龄女性需要更多关注卵子养护。
总之,年龄越轻,卵子质量通常越好。如果您属于年轻群体,可以放心。但如果已经高龄,建议通过调理和专业医疗手段改善卵子质量。
  
2. 检测激素水平
雌激素是评估卵子质量的重要指标。雌激素水平直接影响卵泡的发育成熟,并能调节下丘脑-垂体-卵巢轴的反馈机制。
研究显示,排卵期雌二醇(E2)水平与妊娠率密切相关。排卵期雌二醇高于300 pg/ml时,临床妊娠率明显提高。如果雌二醇水平偏低(低于110 pg/ml),可能提示卵泡发育不良。
此外,黄体功能也能间接反映卵子质量。如果排卵后基础体温升高并持续10天以上,说明卵子质量较好。因此,不妨在排卵期检测血值或观察基础体温,来评估卵子质量。

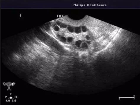
3. B超监测卵泡发育
通过阴道超声(B超),可以直接观察卵泡的大小、形状和生长趋势。
优质卵泡通常大小均匀、形状饱满,直径在18~25mm之间。如果卵泡小于18mm,可能发育不成熟;大于25mm,则可能黄素化而无法正常排卵。
需要注意的是,B超只能观察卵泡而非卵子本身。卵泡形状与大小仅能间接反映卵子的质量。因此,建议选择固定的医生进行多次监测,以获得更精准的评估结果。

4. 测量基础体温
基础体温是判断排卵和黄体功能的简便方法。操作方法如下:
从月经第一天开始,每天早晨起床后测量体温,记录在册。
排卵期体温通常会升高0.3~0.5℃,持续约12天。
如果基础体温在排卵期没有明显升高,或者升高时间过短,可能提示排卵异常或黄体功能不足,这都可能影响卵子质量。
5. 检查基础激素水平
在月经第2~4天抽血检测基础激素水平,包括卵泡刺激素(FSH)、黄体生成素(LH)、雌二醇(E2)等。
FSH水平:小于10 IU/L提示卵巢储备功能正常;超过15 IU/L则提示卵巢功能下降。
FSH/LH比值:如果大于3,说明卵巢储备功能明显下降。
E2水平:基础E2>80 ng/L提示卵巢储备功能减弱。
通过这些指标,可以进一步了解卵巢功能以及卵子质量。
6. 排卵试纸与分泌物观察
排卵试纸是一种简单易用的工具,可辅助判断卵子质量。
如果强阳持续时间较长(超过15小时),说明卵子质量较好。
显色较深则提示激素水平较高,通常意味着卵子质量较优。
此外,阴道分泌物的变化也能提供一定的参考。如果排卵期分泌物增多、持续时间较长且拉丝明显,往往提示卵子质量较好。

特别提示:疾病因素的影响
一些疾病可能对卵子质量造成影响:
子宫内膜异位症:患者的卵子质量往往较差,需要额外调理。
多囊卵巢综合征(PCOS):虽然卵子数量多,但质量可能欠佳。
针对这些情况,建议在专业医生指导下进行科学干预。
对于自然备孕的女性来说,虽然无法直接检测卵子,但以上六种方法能从不同角度帮助您了解卵子质量。通过综合评估后,您可以有针对性地调整备孕计划,避免因方向错误而浪费精力。
如果您通过这些自测发现问题,请及时就医,寻求专业帮助。记住,科学备孕才是提高怀孕成功率的关键!
					
            
            
            
            
            
            
                
                
                
                
                
                
                
                
                
                        
                        
                        
                        
                        
                        