第二部分:21三体综合征
第三部分:18三体综合征第四部分:13三体综合征附:录音文字版
在平时工作中,我们经常会听到患者问“医生,您好!我朋友说,产前遗传学筛查必须要做,你也给我检查一下吧!这个检查都查什么项目呢?”
是的,你朋友说的对,产前遗传学筛查每个孕妇都要做,这是预防出生缺陷的重要途径。目前有几种选择,最基础的是唐氏筛查,主要是针对21三体综合征、18三体综合征、神经管畸形三种疾病对胎儿染色体病进行筛查。另外还有准确性较高的无创DNA筛查(NIPT)新技术,主要是针对21三体综合征、18三体综合征和13三体综合征三种染色体疾病的筛查。要是经济条件宽裕,还可以做NIPT的升级版NIPTPlus,在检测21、18、13三体综合征的同时,对性染色体数目及100种胎儿染色体异常进行筛查。
接下来,我们就针对21、18、13三体综合征,这三种重点排查的出生缺陷进行简单的讲解。
21三体综合征21三体综合征的染色体核型为47,XN,+21。新生儿发病率为1/800,在母亲年龄超过35岁的活产儿或胎儿中,发病率会明显升高。21三体综合征也称唐氏综合征,患儿体内的染色体数目比正常人多了一条21号染色体。其出生后的临床表现为特殊面容:短头畸形、面部扁平、鼻梁低平、眼距宽、外眦上斜、内眦赘皮、低耳位、以及张口吐舌等。智力低下、发育迟缓。是引起出生缺陷最常见,也是最早能诊断的染色体疾病。

患者的平均寿命是16.2岁,患儿的出生给家庭和社会带来了众多的不良影响。每出生一例唐氏综合征患儿将给社会造成25万元左右的经济负担,同时对患儿的家庭造成长期沉重的精神负担和经济压力,对我国的人口素质、国民经济发展、都会产生重大的影响。

18三体综合征的染色体核型为47,XN,+18。新生儿发病率约为1/7500,其中80%为女性患儿。如果这种患儿出生,身体可能会有如下异常:胸骨短、心脏畸形、肌张力亢进、颅面部畸形、双手呈特征性握拳状等。智力发育障碍,生长发育迟缓。是仅次于21三体的第二常见染色体三体征,大多数患儿出生不久后死亡,很少能活到1岁。

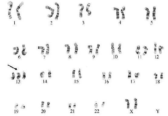
13三体患儿的染色体核型为47,XN,+13。在活产儿中的发病率为1/20000~25000,女性多于男性。13三体的临床表现为严重的中枢神经系统畸形、颅面部畸形、内脏畸形、特征性的握拳状等,50%在出生后一个月内死亡,平均生存期为130天。


据统计,我国平均每30秒就有一名缺陷儿出生,每750个新生儿当中就有一个是出生缺陷儿。严重的出生缺陷儿的诞生,将对一个家庭造成经济和精神的双重压力。
2020年,国家人社部发布的16个新增职业中就有“出生缺陷防控咨询师”这一职业,可见出生缺陷防控工作迫在眉睫。各位已有好孕的准妈妈们,为了拥有一个健康的宝宝,你们一定要依照医生的建议,严格做好产前遗传学筛查与产前诊断工作!今天,我们的分享到此结束,感谢您的聆听,下次再见。
[作者简介]
杨楠楠,医学硕士,主管检验医师,自2018年于空军军医大学思普乐的产前诊断中心工作至今,主要从事遗传学检验工作,擅长遗传病基因诊断、表观遗传学研究、外周血淋巴细胞、羊水细胞G显带核型分析。多次参加中华医学会全国医学遗传学学术会议;近年来发表学术论文13篇,以第一作者发表论文5篇。
文稿:杨楠楠
编辑:刘忠尖 刘 俊
审校:王 珺 王晓红
往期推荐
“睡一觉”轻松搞定取卵手术--无痛取卵术

胚胎移植后:吃、穿、住、行

女性最佳生育年龄是多少?

