——只提供原创、靠谱生殖医学科普——

因为公众号改版,如果姐妹们不给公众号加星标,未来可能大家的公众号首页就直接刷不到我的推送了。
星标方法:点击公众号生殖圈头像→点击右上角...符号→选择第一个“设为星标”

原创不易,转载请注明出处,最近已在搜集证据提交法务,如发现洗稿,必将维权进行到底!
希望大家能支持圈姐一下,动手给生殖圈加个星标,以方便一眼就能找到我,答应我,咱们每天都见面永远不走散好吗?谢谢大家!

流产三次,该做的检查都做了,染色体、激素、免疫、宫腔镜……报告单一切正常,但宝宝就是留不住。
这是很多查不出原因的反复流产女性共同的困惑。医学上,连续发生两次及以上的自然流产,就会被定义为复发性流产。
这其中大约有将近一半的患者,即便经过系统检查,仍然无法明确病因,这就被称为不明原因复发性流产。
但,真的都是无解的吗?
我们是否忽略了一些什么?除了激素失衡,除了抗体作祟,我们是否需要重回生育的本质,回到我们的孕育之土——子宫上。
接下来的真实故事,圈姐将带大家一起走进一例反复流产患者的故事。
看完你会发现,有些反复流产的谜题,答案真的不在常规清单里,而找到它,或许正是破局的关键。

01这位患者的基本情况
这位患者之前有两次连续自然流产,一次在孕5周,一次在孕8周。
第二次流产经历出血,患者进行了清宫手术,并放置了Foley导管进行子宫填塞。
当时医院超声提示可能存在子宫动静脉畸形,但是医生并没有就这个问题进行深入检查。
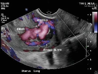
患者第三次妊娠8周就诊,经超声确认已经没有胎心,只见一个2.3厘米孕囊伴有一处小的绒毛膜下血肿。
除此以外,超声探及子宫肌层右侧高度血管化区域,怀疑为子宫动静脉畸形,因为血流信号非常丰富,医生们决定必须查清楚。

为了看清这团血管的真面目和它的势力范围,医生安排她做了CT血管造影。
这个检查就像给子宫的血管系统拍了一张高清三维地图,放射科的医生看了之后,确认了这是子宫动静脉畸形。

面对已经停止发育的胚胎和这个潜在的定时炸弹,医生决定尽快处理。
他们给出两个方案,一个是药流,一个是手术清宫,但手术清宫在子宫动静脉畸形附近操作出血风险高。
患者因为住的远,为了安全可控,她选择了在全身麻醉下做手术清宫。
手术在超声的实时监视下进行,医生小心翼翼地避开右侧那个血管丰富的区域进行操作。
手术顺利,术后放了预防性球囊导管,几小时后取出,没有大出血。
医生对手术取出来的胚胎进行了病理检查,确认是正常妊娠组织,不是可怕的葡萄胎等肿瘤,还做了染色体微阵列分析,结果显示胚胎染色体完全正常。
这基本排除了胚胎自身染色体问题导致流产的可能性,那么她三次复发性流产的原因就是那个子宫动静脉血管团吗?
02深入调查探寻反复流产的原因
既然胚胎是好的,那问题一定出在子宫上,医生开始了全面的病因筛查。
常规查了夫妻双方染色体、内分泌查了甲功和血糖、免疫查了抗磷脂抗体等,感染也都查过了,结果所有常规检查结果显示全部都正常。
流产后复查超声,结果报告显示血流信号不丰富,不像典型的子宫动静脉畸形,这与之前的CT血管造影和临床病史产生了矛盾。

在常规路径走不通后,基于多学科讨论的、针对性的高阶诊断与治疗,医生决定进行宫腔镜检查。
由于担心血管团大出血,这个检查在手术室全麻下进行。
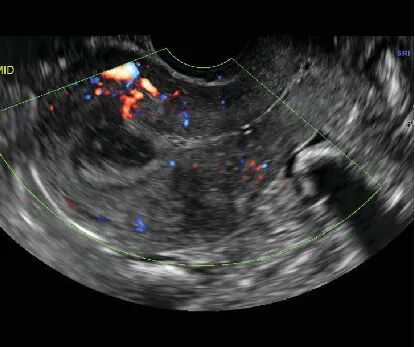
宫腔镜下,医生看到了一个蓝紫色的血管团,凸向宫腔。
当宫腔压力降低时,它看得不清楚,这也解释了为什么怀孕时能发现,清宫后反而超声显示血流信号不丰富的原因了。
这个血管团就长在原本该让胚胎着床生长的内膜上,医生在远离这个血管团的左侧壁取了点内膜化验,排除了慢性炎症,也证实了免疫细胞是正常的。
至此,所有证据链闭合,诊断明确,患者的复发性流产,极大概率是由这个长在子宫里的先天性血管团引起的。
它可能破坏了子宫内膜的正常环境,影响了胚胎的稳定着床和营养供给。
03成功治疗顺利抱娃
面对这个情况,生殖科医生和介入放射科医生共同讨论,他们认为不处理这个血管团下次怀孕仍会面临居高的大出血和流产风险,必须在怀孕前将其处理掉。
他们决定为她行动脉栓塞术,这是一种微创介入治疗。医生从患者大腿根部的血管插入一根细导管,在X光引导下,将导管精确送到给这个血管团供血的子宫动脉分支。
然后注入一种叫明胶海绵颗粒的栓塞剂,这些颗粒就像无数小沙子,随着血流堵住畸形血管团的供血血管,使其内部形成血栓,最终让这个血管团萎缩消失。

手术非常成功,几个月后复查血管核磁共振,显示那个血管团已经显著缩小,血流信号几乎消失。

在血管结构稳定后,医生建议可以尝试怀孕。患者在栓塞术4个月后成功怀孕,整个孕期,医生对她进行了严密的监护。
最终,她在孕38周时,因为自然破水后出现胎儿窘迫,通过紧急剖宫产顺利生下了一个3.2公斤的健康男宝宝。
04子宫动静脉畸形为什么这么关键
这是一种罕见的血管结构异常,你可以把它想象成子宫里长了一团混乱的、直接相连的动脉和静脉,医学上称为动静脉分流或血管巢。
它们绕过了正常的毛细血管网,这些血管的管壁通常很薄,容易破裂。
这种情况比较罕见,但它是导致不明原因复发性流产的一个重要潜在元凶。
当常规检查都找不到原因时,必须考虑它。我们也要注意,这个病例在流产后血管团非常不明显,这告诉我们流产前检查非常关键。
医生们有一系列工具来侦测这个血管团,金标准是组织病理学检查。
也就是把切下来的组织放在显微镜下看,能最清楚地看到那些异常血管的结构,但这通常需要再手术切除病灶后才能实现,不是首选的初诊办法。
经阴道彩超是首选筛查工具,医生可以看到子宫里有一个富含血流信号的团块,多普勒技术能测到里面血流速度极快、阻力极低的特征,但本案例清宫手术后超声典型特征消失,可造成误诊。
当然,增强CT或核磁共振血管成像能清晰显示畸形血管团的位置、大小、范围以及它和周围血管的关系,对于制定治疗方案至关重要。
这个案例特别强调了宫腔镜的价值,当超声等影像学检查结果不典型或自相矛盾时,宫腔镜能直接看到那个蓝紫色或暗红色的血管团凸向宫腔,从而一锤定音。
实际临床中,有些小的子宫动静脉畸形血管团块在非孕期可能不明显,但怀孕后,由于全身和子宫血流量大增,它也会随之长大或变得更容易被检测到。
05这个案例带给我们的启示
这个案例带给我们的核心思考在于,它揭示了复发性流产诊疗中一个关键但常被忽视的维度:当所有常规检查无果时,病因可能隐藏在结构而非功能里。
首先,诊断需要见林亦见树,常规排查是必要的森林全景图,但某些特定病因是独特的树木。此案例提醒我们,在全景无异常时,应调转视角,寻找那些需要特殊影像学才能发现的结构性病灶。
其次,这个案例对经历反复流产的女性而言,它是一份重要的希望,即使多次失败,仍可能存在一个明确的、可治疗的物理原因。
这鼓励大家在迷茫时不放弃,主动与医生探讨进行更专项检查的可能性。
另外,对于临床医生而言,它强化了一元论不一定适用的观念,在复发性流产的鉴别诊断清单中,必须为血管性、解剖性等罕见但重要的原因保留一席之地,避免陷入思维定式。
总之,这个案例的价值在于,它打破了查无异常便是原因不明的僵局,指出了一个明确的探索方向——深入子宫的微观结构,或许就能找到那把被遗忘的钥匙。
这位妈妈的故事告诉我们,当复发性流产的所有常规检查都无异常时,答案可能藏在更深层的结构里。
子宫动静脉畸形这类血管结构性病因,虽罕见却至关重要。它就像子宫内一个隐蔽的电路故障,常规的免疫或内分泌检查难以发现,却能直接影响胚胎的土壤环境。
本案例揭示的超声造影-宫腔镜-介入栓塞这一精准诊疗路径,为部分不明原因的反复流产提供了全新的解题思路。
如果你也面临类似困境,在常规排查后仍找不到方向,不妨将此作为一个新的探讨思路。可以主动与医生沟通:是否存在血管或结构性问题的可能?
医学的进步,正源于对每一个不明原因的深入探索。请永远保持希望,因为每一次科学的探路,都在为生命铺就更坚实的抵达之途。
全文完!现在流量为王的年代,围观也是一份力量,转发就是一份担当,希望动动您发财的小手,给我点个赞,如果您能转发到微信群或朋友圈,就会让更多孕育困难的小家庭受益,谢谢您!郑重声明
本账号发表的内容仅作为科普分享,不对所引用文献的准确性和完整性作出任何承诺和保证,亦不承担因该内容已过时、所引用资料可能的不准确或不完整等情况引起的任何责任,请相关各方在采用或者以此作为决策依据时另行核查。本账号不做任何形式的营销推广,在采取任何预防或治疗措施前,请与你的医疗保健提供者沟通。
不传小道消息和谣言
不做只为转发量而存在的公众号
永远在意真实数据和文献论证
抱娃路上,我愿意陪你一起走过最无助的岁月
——THE END——
参考文献Hysteroscopic Confirmation of a Uterine Arteriovenous Malformation as a Possible Cause of Recurrent Pregnancy Loss. Case Rep Obstet Gynecol. 2025 Jul 25;2025:6655067. doi: 10.1155/crog/6655067.

