内膜三线征
在试管婴儿移植周期中,子宫内膜呈“三线征”,是其处于良好容受状态的形态学标志。如无三线征出现,医生可能会建议取消移植。因为这是评估着床窗口的关键视觉指标,目的是精准同步胚胎与内膜的发育节奏,最大化提升着床率。
想要了解什么是内膜三线征,首先需要了解什么是子宫内膜?
子宫内膜
子宫内膜是衬覆于子宫腔内侧的一层黏膜组织,是构成女性生殖系统的重要部分。其结构、厚度及功能随卵巢分泌的雌激素和孕激素的周期性变化而发生显著改变,是胚胎着床和发育的场所。
简单来说,它是生长在子宫腔内侧的一层柔软、光滑的组织膜,是胚胎植入并发育的“土壤”。其形态和厚度随着月经周期激素分泌而变化。
它由两部分构成
1.功能层:内膜表层,邻近子宫腔。对卵雌激素、孕激素高度敏感,会发生周期性的增殖、分泌和脱落,是月经血的主要成分和胚胎着床的直接部位。
2.基底层:在功能层的深部,与子宫肌层直接相连。对激素不敏感,不发生周期性脱落,其功能是每个月经周期后再生并修复功能层。

子宫肌层
子宫肌层是子宫的肌肉壁,是子宫最厚的组成部分,它是由强壮的平滑肌纤维构成。在月经周期帮助脱落的内膜和经血排出,在孕期容纳和滋养胎儿,在分娩时通过强力收缩将胎儿娩出。
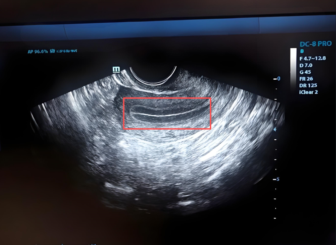
什么是内膜三线征
内膜三线征,也叫 “三线型内膜” ,是经阴道(或腹部)B超检查时,对子宫内膜形态的一种描述。在B超图像上,可以看到三条平行的亮线。
上线(前壁的线)= 前壁的基底层与子宫肌层的交界
下线(后壁的线)= 后壁的基底层与子宫肌层的交界
中间线 = 前壁与后壁的功能层在子宫腔中的交界面(宫腔线)

三线征什么时候出现
自然周期(以28天周期为例):第1-4天,内膜刚脱落还很薄,第5-14天(增殖期)雌激素作用于内膜(由正在发育的卵泡产生),刺激基底层细胞快速增生,修复创面,形成新的功能层内膜。
第1-4天: 内膜脱落,B超下看不到清晰的结构。
第5-11天:增殖早中期,内膜开始增生,但厚度还不够,三线不典型。
第12-14天:(增殖晚期 → 排卵前)三线征最典型的时期。在卵泡分泌的大量雌激素作用下,内膜达到一定的厚度(通常可达8-12mm),形态清晰,呈现出典型的三线征。
人工周期:通常在开始服用雌激素药物(如补佳乐等)后的5-7天内出现。因为外源性的雌激素直接作用于子宫内膜,使其进入增殖期。通过B超,可以观察到内膜不断增厚并呈现出三线征。
三线征什么时候消失
自然周期:排卵后(黄体期,第15-28天),内膜分泌期。在孕激素的作用下,子宫内膜会变得更加致密、均匀,腺体开始分泌营养物质。此时,两层内膜之间的界限变得模糊,宫腔线消失,内膜趋于稳定,厚度也几乎不再变化,整个内膜变为均匀的高回声,看起来就像一条单一的、明亮的厚线,“三线征”也随之消失。
人工周期:在整个雌激素用药期间,只要无孕激素加入,“三线征”通常会一直维持。医生会持续监测,当子宫内膜厚度达到理想标准(通常>8mm)且三线征清晰时,使用孕激素转化内膜,即从“增殖期”向“分泌期”转化。在使用孕激素后,“三线征”逐渐消失。
三线征在辅助生殖中的意义
三线征,是内膜接受胚胎着床能力的初步评估。一个清晰、漂亮的“三线征”通常被认为是内膜形态良好、容受性高的标志。说明内膜在雌激素作用下得到了充分的准备,可为胚胎着床提供有利条件。
试管过程中,医生会关注内膜的形态、厚度。具有清晰三线征的内膜被认为是最理想的形态,本周期移植通常有着更高的着床率。

本文经Dr.Dew审核,但内容仅供参考。子宫内膜的“三线征”是评估内膜状态的重要指标之一,但并非唯一标准,移植周期需要由您的医生结合激素水平、内膜状况及其他个体情况综合判断。

